Официальные ответы и авторские решения на все задания для 7, 8, 9, 10, 11 класса олимпиада по биологии 9 октября 2025 школьный этап ВСОШ официальной всероссийской олимпиады школьников 4 группы регионов Сириус всего в олимпиаде 20 заданий от Стобальника приступить к прохождению не позднее 19:00 9 октября 2025 года.
Сириус по биологии 7 класс ответы
1. История открытия и изготовления микроскопов начинается с конца XVI века. В 1674 г. голландский натуралист Антони ван Левенгук, опираясь на работы предшественников, значительно усовершенствовал этот прибор. По какому параметру линзы для микроскопов, сделанные Антони ван Левенгуком, превосходили продукцию его предшественников?

Были сделаны из стекла, тщательно отшлифованы и давали увеличение
В 150-300 раз, больше, чем у большинства других производителей
Были сделаны из вулканического стекла, найденного в районе вулкана
Везувия, которое обеспечивало увеличение всего в 10 раз, но имело очень
низкую себестоимость линз
Были сделаны из кашмирских сапфиров и давали предельную четкость
изображения
Для изготовления использовались спеченные кристаллы тростникового
сахара, что сильно удешевляло производство линз
Ответ: были сделаны из стекла, тщательно отшлифованы и давали увеличение в 150-300 раз, больше, чем у большинства других производителей
2. Какой организм не является одноклеточным?

Ответ: 4 картинка
3. Срез какого органа растения представлен на рисунке?

Коробочки со спорами мха
Стебля покрытосеменного растения
Листа цветкового растения
Корня папоротника
Ответ: коробочки со спорами мха
4. Симбионтами какого организма являются клубеньковые бактерии?
Астры европейской
Малины обыкновенной
Донника лекарственного
Лилии восточной
Ответ: малины обыкновенной
5. Среди растений встречаются паразиты, которые вместо того, чтобы самим синтезировать органические вещества, поглощают их с помощью различных приспособлений из других растений. Какое растение НЕ является паразитическим?
Плющ обыкновенный (лат. Hedera helix)
Петров крест обыкновенный (лат. Lathraea squamaria)
Повилика европейская (лат. Cuscuta europaea)
Омела белая (лат. Viscum album)
Ответ: плющ обыкновенный (лат. Hedera helix)
6. У растений, относящихся к этому семейству, плод — коробочка или ягода, а подземные побеги могут быть видоизменены в луковицы, клубнелуковицы или корневища. Какая диаграмма характерна для цветка растения из этого семейства?

Ответ: 1 изображение
7. В зародыше какого растения одна семядоля?

Ответ: арбуз
8. У какого растения есть плоды?

Ответ: 2 картинка
9. Почему хвойные деревья не сбрасывают листья (хвою) на зиму, в отличие от лиственных?
Узкая форма хвои уменьшает потери воды, а восковой налёт защищает от высыхания
Хвоя растёт очень медленно, поэтому дереву невыгодно её сбрасывать каждый год
У них нет листьев, а есть только хвоя
Хвойные растут только в тёплых регионах
Ответ: узкая форма хвои уменьшает потери воды, а восковой налёт защищает от высыхания
10. В пустыне кактусы часто имеют ребристую поверхность стебля. На что направлена эта адаптация?

На защиту от поедания животными
На накопление большего количества воды при расширении стебля
На создание тени и уменьшение нагрева
На увеличение площади поверхности для фотосинтеза
Ответ: на защиту от поедания животными
11. Растение венерина мухоловка «считает» количество прикосновений к своим листьям и захлопывается только после второго касания за короткое время. Почему?

Привлекает больше насекомых запахом
Убеждается, что объект достаточно крупный
Экономит энергию и не реагирует на случайные касания
Даёт насекомому время попасть в центр ловушки
Ответ: экономит энергию и не реагирует на случайные касания
12. В рязанском дендропарке прорастили семена одного вида деревьев с североамериканским ареалом. Когда саженцы высадили в грунт, они начали засыхать, хотя на родине в точно таких же условиях растут хорошо. Сотрудники парка предположили, что для нормального роста деревьям не хватало взаимодействия с другими организмами. Выберите вид, таксономически наиболее близкий к этим организмам:

Ответ: гриб
13. Домашняя курица яйценоской породы несёт по 1 яйцу каждые 1-3 дня. Но далеко не любой вид птиц можно путём селекции довести до такой скорости размножения. Какой фактор мог сделать предков домашних кур предрасположенными к высокой яйценоскости?
Высокая конкуренция
Периодически возникающее обилие корма
Обитание в условиях длинного светового дня
Изменчивая температура в сезон размножения
Ответ: обитание в условиях длинного светового дня
14. У мелких грызунов в естественной среде обитания иногда наблюдается реакция тремора — дрожания всем телом в течение некоторого времени. Какой цели она служит?
Увеличение теплопродукции
Размытие контура тела для маскировки
Создание вибрационных волн в почве для ориентации
Сбрасывание эктопаразитов

15. При освоении людьми новых территорий особи крупных хищников, проявляющие агрессию и нападающие на человека, селективно уничтожались. Для какого вида на территории России подобная селекция сейчас проходит наиболее интенсивно?

2.1. У растений каких семейств встречается плод ягода?
Паслёновые
Розоцветные
Лилейные
Крыжовниковые
Банановые
2.2. У многих растений засушливых местообитаний в ходе эволюции формируются утолщённые стебли и листья, покрытые мощной кутикулой. Где можно найти растения, обладающие теми же морфологическими адаптациями?
В подлеске лиственных лесов
На берегах солёных озёр
На пойменных лугах
На верховых болотах
На каменистых возвышенностях

2.3. Какие признаки обычно характерны для растений с яркими цветками?

Дневное время цветения
Самоопыление
Опыление насекомыми
Опыление ветром
Наличие нектара
2.4. Выберите 3 растения из одного семейства:

2.5. Многие рыбы российских рек нерестятся ранней весной на мелководьях. С какими рисками это связано?
Большая вероятность сноса икры течением
Уязвимость нерестящихся особей для хищников
Излишний прогрев воды в мелководных участках
Меньшее количество планктонного корма для мальков
Высыхание икры при спадах воды

3.1. Установите соответствие между продуктом и трофическим уровнем организма, из которого этот продукт изготовлен.

Сириус по биологии 8 класс ответы
1. На какой фотографии представлен автотрофный организм?

Ответ: 1 изображение
2. Каши готовят из плодов некоторых растений. Выберите неверную пару:
Ячневая — ячмень
Гречневая — гречиха
Геркулесовая — овес
Пшённая — пшеница
Ответ: Пшённая — пшеница
3. Что должен делать селекционер, чтобы получить пшеницу, устойчивую к засухе?
«Воспитывать» пшеницу, поливая её как можно реже
Выращивать пшеницу в теплицах при повышенной температуре
Добавлять в почву специальные химикаты, задерживающие воду
Отбирать и размножать растения, которые лучше переносят недостаток воды
Ответ: отбирать и размножать растения, которые лучше переносят недостаток воды
4. У подавляющего большинства высших растений побеги растут вверх, а корни — вниз, даже если семя посадить «вверх ногами». На что ориентируется растение при прорастании?
На магнитное поле, влияние которого усиливается с глубиной
На силу тяжести и световой сигнал
На химический состав почвы
На температуру
Ответ: на силу тяжести и световой сигнал
5. Как известно, лишайники это симбиоз нескольких организмов. Микобионты и фитобионты могут отличаться у разных видов. Какие организмы НЕ встречаются в составе лишайников?
Цианобактерии
Зелёные водоросли
Сумчатые грибы
Шляпочные грибы
Ответ: шляпочные грибы
6. Чем представлен гаметофит рябины обыкновенной?

Деревом
Цветком
Плодом
Зародышевым мешком
Ответ: зародышевым мешком
7. К какой систематической группе относится изображенный организм?

Насекомые
Трилобиты
Ракообразные
Хелицеровые
Ответ: хелицеровые
8. Какое животное значительно влияет на численность популяций жемчужницы обыкновенной в реках Арктики?

Ответ: 3 картинка
9. Для формирования экзоскелета ракообразных требуется большое количество кальция, так что при содержании их в неволе приходится следить за его наличием. При содержании какого животного об этом можно не беспокоиться?

Ответ: 3 изображение
10. Рассмотрите изображение. Чем можно объяснить наличие дополнительных конечностей у птицы?

Это части тела недоразвитых «сиамских близнецов этой птицы
Это ноги птенцов, которых птица переносит под крыльями, чтобы защитить от опасности
Птица заражена паразитом из класса Trematoda, который отращивает ей
дополнительные ноги
Для самцов этого вида характерен необычный способ привлечения самок
при котором они демонстрируют конечности поверженных ими конкурентов
Ответ: это ноги птенцов, которых птица переносит под крыльями, чтобы защитить от опасности
11. Ядовитые животные в ходе эволюции часто приобретают предостерегающую окраску. Но у некоторых ядовитых амфибий такая окраска есть только на брюшной стороне тела. Выберите наиболее вероятную причину:

Необходимость эффективнее прогреваться
Маскировка от хищников, у которых нет цветного зрения
Отсутствие нужных мутаций в генах, контролирующих окраску спинной стороны
Маскировка для более эффективной охоты
Ответ: маскировка от хищников, у которых нет цветного зрения
12. Почему у этих животных разная длина хвоста?

У крупных видов длина хвоста больше для сохранения баланса тела
Длина хвоста влияет на приспособленность особи незначительно и у каждого вида формируется случайным образом
Длину хвоста определяют особенности передвижения и охоты
Хвост играет важную роль в терморегуляции
Ответ: длину хвоста определяют особенности передвижения и охоты
13. В коллекции музея хранятся две особи рыб одного вида. На этикетках написано лишь то, что они выловлены в разных местах, один экземпляр — в феврале, другой в сентябре. Какая гипотеза о различиях в их внешности правдоподобнее?

Это самец и самка
Это рыбы из разных популяций
Одна из рыб — экземпляр с мутациями
Одна из рыб изменилась перед нерестом
Ответ: одна из рыб изменилась перед нерестом
14. Многие народы использовали подсечно-огневое земледелие — способ выращивания растений на лесных территориях с очень неплодородной почвой. Деревья на выбранном участке сжигались, зола удобряла почву необходимыми растениям элементами (но, к сожалению, очень небольшим количеством азота, большая часть которого улетучивалась при горении). Каждый год почва обеднялась, так как элементы вымывались дождями. Участок так или иначе использовали до полной потери им плодородности и зарастания лесом. Какой порядок использования таких участков наиболее эффективен?

Сенокос — рожь — горох — пастбище
Горох — рожь — пастбище — сенокос
Пастбище — сенокос — горох — рожь
Рожь — горох — сенокос — пастбище
Ответ: Рожь — горох — сенокос — пастбище
15. Археологам известны случаи нахождения гарпунов и рыболовных крючков, изготовленных аборигенными народами Арктики, в местах, удалённых на тысячи километров к югу. Выберите пару животных, в которой оба вида могли бы обеспечить подобный перенос:

Ответ: нужно выбрать 3 пункт
16. Соня с мамой решили приготовить хлеб. Для этого нужно смешать продукты, полученные из разных живых организмов. К каким систематическим группам относятся эти организмы?
Розоцветные
Пасленовые
Грибы
Лишайники
Однодольные
Ответ: Грибы, Однодольные
17. Роевой интеллект — это коллективное поведение животных, приводящее к сложным организованным результатам. Какие насекомые обладают роевым интеллектом?
Аммофила песчаная (роющая оса)
Пчела медоносная
Дровосек-титан (жук)
Рыжий лесной муравей
Шершень восточный
Ответ: Рыжий лесной муравей, Шершень восточный, Пчела медоносная
18. Муравьи-листорезы живут в симбиозе с некоторыми видами грибов. Принося в муравейник кусочки листьев, они пережевывают их и используют как субстрат для выращивания гриба, которым питаются. Аргентинские школьники проводят эксперимент: они предлагают пяти колониям живущих вневоле муравьев различные варианты листьев. Условия эксперимента: колония 1: листья, обработанные фунгицидом (подавляет рост грибов); колония 2: листья растений, синтезирующих антигрибковые вещества; колония 3: листья, опрысканные сахарным раствором; колония 4: нет листьев: колония 5: необработанные листья.

Какие результаты эксперимента наиболее вероятны?
В колонии 5 прирост грибницы будет значительно меньше, чем в колонии 4
В колониях 1-2 есть риск возникновения плесени
Колонии 1, 2 и4 могут слабо отличаться друг от друга
Наименьшее количество личинок будет в колонии 3
Численность новых личинок в колонии 4 будет наибольшей

19. Выберите верные утверждения об изображенном организме:

Благодаря выросту пищевода, заполненному газом, способен менять глубину погружения
Обитает в пресноводных водоёмах
Является консументом I порядка
Имеет замкнутый тип кровеносной системы
В сердце течёт артериальная кровь
20. Галина Ивановна из Рязани поставила на даче высокую бочку и налила в неё чистую дождевую воду. Какие организмы могут в ней появиться?

21. Установите соответствие между типами корневых систем и экологическими особенностями растений.

22. Установите соответствие между типами морских животных и их представителями. Морская уточка, Морская лилия, Морское перо, Морское ушко.

Сириус по биологии 9 класс ответы
1. Ирина прочитала о том, что образованный дождевыми червями вермикомпост позволяет увеличить урожайность растений. Она решила проверить это утверждение для одного из сортов земляники. Часть экспериментальных растений росла на личном огороде, а часть — на поле фермы, выращивающей ягодные культуры. Полученные данные приведены на графике, каждая точка соответствует одному растению.

Какой предварительный вывод можно сделать из этого исследования?
Число растений слишком мало, поэтому выявить закономерности нельзя 500
Эффективность предлагаемого удобрения может зависеть от состава почвы
Внесение вермикомпоста снижает урожайность земляники на поле
Удобрение не влияет на урожайность
Ответ: эффективность предлагаемого удобрения может зависеть от состава почвы
2. В опыте с растением в стебле перерезали кору с лубом, не задевая ксилему. Через сутки концентрация сахаров в листьях увеличилась в 3 раза. Это произошло, так как нарушился транспорт веществ
Ответ: вниз
3. Секвойи — самые высокие деревья на Земле (до 115 м). Как они доставляют воду к вершине?

Испаряют воду листьями (транспирируют)
Используют капиллярные силы в древесине
Доставляют от корней к верхушке по сосудам
Всё вышеперечисленное
Ответ: всё вышеперечисленное
4. У корневища, в отличие от корня растений, нет

Ответ: боковых корней
5. У какого растения в жизненном цикле преобладает гаметофит?

Ответ: 4 картинка
6. Школьник Иван решил заняться полевой ботаникой, больше всего его интересовала тема распространения борщевика Сосновского. При исследовании полей Иван заметил, что борщевик расселяется практически беспрепятственно, за исключением мест, где исследуемый вид встречается с козлятником (сем. Бобовые). Почему борщевик при встрече с козлятником тормозит своё распространение?

Борщевик плохо переносит высокое содержание азота в почве
Козлятник быстро растёт и образует плотные заросли, не пропускающие свет
Козлятник имеет высокую аллелопатическую активность
Козлятник паразитирует на борщевике
Ответ: козлятник быстро растёт и образует плотные заросли, не пропускающие свет
7. Какое насекомое относится к тому же отряду, что и организм на фото?

Ответ: 1 изображение
8. Пока программист Пётр купался на даче в бочке, какое-то животное больно укусило его, оставив на коже след в виде одной маленькой точки. Прочесав бочку сачком, дачник выловил четырёх животных. Какое из них укусило Петра?

Ответ: 1 картинка
9. Численность каких насекомых может значительно возрастать из-за появления свалок автомобильных покрышек?

Пчёл
Комаров
Тараканов
Бабочек
Ответ: комаров
10. Для жизненных циклов многих паразитов характерна смена хозяев. У какого паразита и промежуточный, и окончательный хозяева относятся к одному классу?

Ответ: 4 изображение
11. Паук-серебрянка, чтобы увеличить время нахождения под водой, строит из паутины воздушный колокол. Обычно в такую постройку успешно диффундирует растворённый кислород, и паук может проводить там длительное время. Но в тёплой воде серебрянке приходится циркулировать между готовым колоколом и поверхностью, перенося на брюшке объёмы воздуха.

Какой процесс при этом происходит?
Вынос из колокола углекислого газа
Доставка в колокол кислорода
Доставка в колокол углекислого газа
Увеличение концентрации газов для предотвращения «схлопывания» колокола
Ответ: вынос из колокола углекислого газа
12. Многие животные «знают», когда наступит зима, и начинают готовиться к ней заранее (запасать жир, менять окраску, строить укрытия). На какой главный сигнал они ориентируются?
На изменение длины светового дня
На уменьшение количества пищи
На поведение других животных
На понижение температуры воздуха
Ответ: на изменение длины светового дня
13. В литературе встречается такое утверждение: птицы клесты, питающиеся семенами елей и сосен, пропитываются смолой, из-за чего после смерти годами не разлагаются. Выберите факт, который противоречит этой гипотезе:

Кроме семян хвойных, клесты также поедают плоды и насекомых
Трупы дятлов, белок и кедровок, зимой питающихся семенами хвойных, разлагаются
Клесты немногочисленны, и люди редко могут наблюдать погибших особей
В военные годы люди употребляли клестов в пищу
Ответ: трупы дятлов, белок и кедровок, зимой питающихся семенами хвойных, разлагаются
14. Пациент обратился в больницу с черепно-мозговой травмой. Среди симптомов было нарушение координации, шаткость походки, дрожание конечностей при движении. Речь была сбивчивая. При просьбе врача закрыть глаза и дотронуться до кончика носа пациент промахнулся. Какой отдел мозга повреждён у пациента?
Продолговатый мозг
Мост
Мозжечок
Гипоталамус
Ответ: мозжечок
15. Человек после подъёма по лестнице дышит часто и глубоко. Почему организм не может сразу вернуться к обычному дыханию?
Нервная система ещё находится в состоянии возбуждения
Нужно время для выведения накопленного углекислого газа и восстановления содержания кислорода в крови
Лёгкие ещё не успели расшириться до нормального размера
Мышцы диафрагмы устали и не могут работать нормально
Ответ: нужно время для выведения накопленного углекислого газа и восстановления содержания кислорода в крови
16. Человек поднялся высоко в горы и не успел пройти адаптацию к разреженному горному воздуху, из-за чего он испытывает трудности с дыханием и головокружение. Что произойдёт с организмом через некоторое время, когда произойдёт его адаптация?
Организм будет испытывать гипоксию
Произойдёт спазм бронхов
Артериальное давление станет очень высоким
Увеличится количество эритроцитов
Ответ: увеличится количество эритроцитов
17. У спортсмена в покое пульс 45 ударов в минуту, а у нетренированного человека — 80. Почему?
У спортсмена сердце меньше по размеру и работает чаще
У спортсмена в крови больше адреналина
У спортсмена кровеносные сосуды шире, поэтому крови выбрасывается больше за одно сокращение
У спортсмена сердечная мышца сильнее и выбрасывает больше крови за одно сокращение
Ответ: у спортсмена сердечная мышца сильнее и выбрасывает больше крови за одно сокращение
18. При резке лука в некотором порядке происходят следующие процессы: 1. Раздражение тройничного нерва. 2. Выделение лакриматорного (вызывающего слезотечение) фактора из лука. 3. Рефлекторное слезотечение. 4. Попадание химического вещества в глаза и нос. Выберите верную последовательность этих процессов.
Ответ: 2-4-1-3
19. Морские лилии называют «живыми ископаемыми». Что это значит?

Они ничем не отличаются от своих давно живших предков
Их срок жизни очень велик
Их яйца способны длительное время сохраняться и потом оживать
Многие черты их строения возникли у давно живших предковых форм
Ответ: многие черты их строения возникли у давно живших предковых форм
20. Тяжёлые металлы способны накапливаться в живых организмах и продуктах их жизнедеятельности. Их содержание оценивают с помощью химического анализа. Но распространение многих металлов через атмосферу затруднено, поэтому загрязнение может быть локальным, а обработка большого количества проб стоит дорого. Выберите объект, одна проба из которого лучше всего позволит оценить, есть ли где-то в окрестностях загрязнения:

Ответ: лишайник
21. С каких организмов могут начинаться пищевые цепи?

Ответ: со всех
22. Осенью листья многих древесных растений изменяют свой цвет и опадают. Выберите верные утверждения:
Жёлтых и красных пигментов становится больше для защиты от избытка света
Хлорофилл в листьях разрушается и становятся видны другие пигменты
Опадение листьев уменьшает потери воды в холодный период
Все деревья меняют цвет листьев одновременно
Растение не тратит энергию на поддержание листьев зимой
Ответ: 2, 3, 5
23. На рисунке изображена пищевая цепь. Цифры над стрелками показывают эффективность продуцирования (сколько съеденной биомассы или энергии следующий трофический уровень превращает в свою биомассу). Выберите верные утверждения:

Эффективность продуцирования у цапли больше, чем у её паразитов
Чтобы масса жаб выросла на 1 кг, должно быть съедено как минимум 50 кг растений
Долгоносики теряют 80% полученной энергии в виде тепла и неусвоенной пищи
Если жабы съедят 1 кг долгоносиков, их суммарная масса увеличится на 100 г
Если долгоносики съедят 100 г клубники, их суммарная масса увеличится на 80 г
Ответ: 3, 4
24. На рисунке схематично изображён поперечный срез червя. Выберите характеристики данного организма:

Паразитический образ жизни
Вторичная полость тела
Раздельнополость
Выделительная система, представленная метанефридиями
Замкнутая кровеносная система
Ответ: 2, 3, 4
25. Эксперименты показывают, что высокая доля чипсов в рационе приводит к ожирению и повышению уровня холестерина в крови. Выберите другие проблемы со здоровьем, связанные с недостатком витаминов в чипсах:
Увеличение возбудимости нервной системы из-за повышения внутриклеточной концентрации Na+
Бессонница из-за подавления выработки мелатонина
Остеопороз (хрупкость костей) из-за дефицита и плохого усвоения кальция
Развитие цинги
Проблемы с сумеречным зрением
Ответ: 3, 4, 5
26. Выберите верные утверждения о зонах, обозначенных буквами:

А и Е проводят эфферентный сигнал B
А содержит тела нейронов, отростки которых проходят в Б
В — задние рога
Д- серое вещество
Г содержит тела чувствительных нейронов
Ответ: А содержит тела нейронов, отростки которых проходят в Б, В — задние рога
27. В народной медицине часто используют вещества, выделяемые из растений с помощью настоек, вытяжек и т. п. Какие риски связаны с подобным самостоятельным лечением, ведь многие из этих веществ действительно обладают лекарственными свойствами и часто входят в состав официальных лекарств?
Слишком низкое содержание действующих веществ в дикорастущих растениях
Очень высокая схожесть большинства лекарственных растений с ядовитыми
Невозможность оценить дозировку вещества
Формирование организмом невосприимчивости к обычным лекарствам
Наличие других физиологически активных веществ
Ответ: 3, 5 утверждение верное
28. Какие клетки в зрелом состоянии имеют ядро?
Моноцит собаки
Трахеида сосны
Хоаноцит губки
Клетка Лейдига
Риккетсия
29. Что происходит в организме человека в жаркую погоду для поддержания нормальной температуры тела?
Расширяются кровеносные сосуды кожи
Увеличивается потоотделение
Уменьшается суммарное количество тепла, выделяемого мышцами,
вследствие снижения активности
Снижается частота дыхания для охлаждения
Сужаются кровеносные сосуды внутренних органов

30. Какие клапаны находятся в открытом состоянии во время систолы желудочков?
31. В одной столовой самыми популярными блюдами оказались блины, гречневые котлеты и торт-желе. Установите соответствие между растениями и блюдами, в состав которых они входят.

32. Установите соответствие между организмом и типом окраски.

33. Зачастую анатомические и морфологические структуры животных называют по аналогии с неживыми объектами. Установите соответствие.
34. Важные параметры, определяемые при общем анализе крови, — общее число лейкоцитов и процентное соотношение разных типов лейкоцитов. Два школьника получили результаты анализов и хотят ещё до встречи с врачом узнать, больны ли они. Как анализировать процентные соотношения, они не знают, но могут сравнить абсолютные количества разных клеток с нормой. Определите, кто из школьников болен, и запишите в ответ число эозинофилов в литре его крови. Ответ выразите в млн клеток/литр.

35. Сосна растёт в высоту со скоростью 30 см в год в первые 10 лет, затем по 25 см в год следующие 20 лет и по 15 см в год в последующие годы. Сколько лет сосне высотой 15 метров? Ответ округлите до целых.
Сириус по биологии 10 класс ответы
1. Ацидофильные бактерии являются экстремофилами и обитают в средах с крайне низким значением рН (например, в кислых горячих источниках или кислых шахтных водах). Солнечного света в таких местах часто недостаточно для фотосинтеза. Какой основной процесс используют эти организмы для получения энергии?
Гликолиз
Брожение
Хемосинтез
Фотосинтез
Ответ: Хемосинтез
2. Для высших растений и некоторых групп водорослей характерен жизненный цикл с чередованием поколений, в котором диплоидный спорофит доминирует над гаплоидным гаметофитом. Такое преобладание обеспечивает ряд преимуществ, например, большую устойчивость к неблагоприятным условиям. У какой водоросли жизненный цикл характеризуется доминированием спорофита?
Ответ: ламинария
3. В эксперименте с растением флоэму в стебле перерезали, не нарушая целостность ксилемы. Как изменялась концентрация сахаров в листьях в течение суток?
Увеличивалась
Уменьшалась
Ночью уменьшалась, днём увеличивалась
Не изменялась
Ответ: увеличивалась
4. Подсолнухи поворачиваются вслед за солнцем в течение дня (гелиотропизм). Что обеспечивает этот механизм?
Фоторецепторы в цветочных корзинках
Изменение тургорного давления в листьях
Сокращение мышечных волокон в стебле
Неравномерный рост клеток на разных сторонах стебля
Ответ: неравномерный рост клеток на разных сторонах стебля
5. Какой растительный гормон называют «гормоном стресса»?
Кортизол
Адреналин
Гиббереллин
Этилен
Ответ: кортизол
6. Рассмотрите фотографию поперечного среза органа однодольного растения. Что это за орган?

Почка
Цветок
Шишка
Корневище
Ответ: корневище
7. Л. Г. Раменский ввёл в экологию растений термин «виоленты» — виды с высокой конкурентоспособностью и, по выражению учёного, «энергией жизнедеятельности», Доминирующие в фитоценозах, особенно на поздних стадиях сукцесии. Выберите типичного виолента:
Пихта сибирская (Abies sibirica Ledeb.)
Клюква обыкновенная (Vaccinium oxycoccos L.)
Багульник болотный (Rhododendron tomentosum Harmaja)
Иван-чай узколистный (Chamaenerion angustifolium (L.) Scop.)
Ответ: Пихта сибирская
8. Брахиоподы, или плеченогие — тип морских животных. Это фильтраторы, обычно обитающие на мелководьях. После произошедшего 250 млн лет назад массового вымирания один из классов моллюсков вытеснил их из большинства местообитаний. Какой организм относится к этому классу?
Прудовик
Каракатица
Устрица
Аммонит
Ответ: устрица
9. У какого класса животных впервые появилось анатомическое образование, обозначенное стрелкой на рисунке?

У земноводных
У рыб
У млекопитающих
У пресмыкающихся
Ответ: у земноводных
10. Лена хочет поселить в свой морской аквариум губок. На какой из этих параметров нужно обратить внимание в первую очередь, чтобы они прижились?
Скорость течения
Освещённость
Ультрафиолетовое излучение
Наличие полостей между камнями
Ответ: скорость течения
11. Выделяют несколько типов окраски животных в зависимости от механизма её работы — предупреждающую, покровительственную и так далее. Окраску какого животного можно отнести к тому же типу, что и окраску рыбы?

Ответ: пчела
12. Все изображённые виды питаются муравьями и термитами. Их язык очень длинный и липкий. Выберите верное утверждение:

Это произошедшая от общих муравьеядных предков группа, расселившаяся по суше
Потребление веществ, содержащихся в термитах, вызывает сходные мутации
Это неродственные виды, возникшие при адаптации к похожим условиям
Эти виды специализировались на питании нектаром, но после изменения климата адаптировались к другому рациону
Ответ: это неродственные виды, возникшие при адаптации к похожим условиям
13. Что иллюстрирует схема?

Клональную селекцию лимфоцитов
Образование нейрона
Образование тромбоцитов
Эритропоэз — процесс кроветворения, в ходе которого образуются красные кровяные клетки
Ответ: клональную селекцию лимфоцитов
14. Водитель увидел препятствие, но не успел затормозить. Чем объясняется промежуток между моментами «увидел» и «нажал на тормоз»?
Временем, необходимым для обработки информации в нервной системе и передачи сигнала к мышцам
Плохим зрением водителя
Техническими неисправностями автомобиля
Медленной работой мышц ноги
Ответ: временем, необходимым для обработки информации в нервной системе и передачи сигнала к мышцам
15. Какие клетки препятствуют проникновению инфекционного агента в организм?
Лимфоциты иммунной системы
Эпителиальные клетки кожи
Миобласты мышечных волокон
Нейроны центральной нервной системы
Ответ: лимфоциты иммунной системы
16. Почему человек не может вызвать щекотку у самого себя?
Психологически человек знает, что будет щекотать себя
Мышцы рук недостаточно чувствительны к собственным движениям
Мозжечок предсказывает ощущения от собственных движений и подавляет их
Кожные рецепторы привыкают к прикосновениям собственных рук
Ответ: мозжечок предсказывает ощущения от собственных движений и подавляет их
17. Известно, что у плода человека лёгкие не выполняют свою функцию, поэтому кровь из малого круга кровообращения перенаправляется в аорту благодаря Боталлову протоку. В какой структуре начинается Боталлов проток?
Ответ: справа 1 верхняя точка
18. Многоклеточное шарообразное животное потребляет определённое количество пищи в день. Животное не имеет «пустот», то есть внутри заполнено клетками, размер и энергетические потребности которых остаются неизменны. Во сколько раз больше пищи будет потреблять такое же животное, но с вдвое большим радиусом тела?
Ответ: 8
19. У какого организма НЕ встречается геномной РНК?
У вируса гриппа
У холерного вибриона
У коронавируса
У реовируса
Ответ: у холерного вибриона
20. Породы собак значительно различаются по размеру: от чихуахуа весом 1 кг до сенбернара весом 100 кг. С чем это связано
С различиями в питании щенков
С влиянием климата разных типов
С естественными мутациями
С длительной селекционной работой человека
Ответ: с длительной селекционной работой человека
21. У гималайских кроликов есть ген, который определяет окраску шерсти в зависимости от температуры. При высокой температуре шерсть белая, при низкой — тёмная. Какой вывод можно сделать из этого примера?

Проявление генов может зависеть от условий окружающей среды
Гены не влияют на окраску шерсти
У этих кроликов нет генов окраски
Температура изменяет структуру ДНК
Ответ: проявление генов может зависеть от условий окружающей среды
22. Живородящая ящерица — один из распространённых в высоких широтах видов рептилий. Однако этот вид не переносит замерзания ниже — 10 градусов и не копает собственные норы. Известно, что живородящая ящерица может успешно зимовать в норах всех изображённых животных. Какое из них представляет наименьший риск для её жизни?

Ответ: жук
23. Перед вам фотография политенных хромосом — гигантских специализированных структур из ДНК, которые можно найти в некоторых клетках. Образуются они при многократной репликации ДНК без разделения хроматид. Выберите верное утверждение:
Политенные хромосомы можно изучать с помощью светового микроскопа
После каждой репликации политенных хромосом разнообразие генов в клетке увеличивается
Политенные хромосомы образуются только во время мейоза
Политенные хромосомы не связаны с гистонами
Ответ: политенные хромосомы можно изучать с помощью светового микроскопа
24. Во время проведения процедуры ЭКО в лаборатории было оплодотворено две яйцеклетки. После подсадки оба эмбриона успешно имплантировались. Выберите верное утверждение:
Дети будут однополыми
Детей с небольшой вероятностью может родиться трое
Дети будут являться монозиготными близнецами
У таких детей будет повышена предрасположенность к генетическим заболеваниям
Ответ: дети будут однополыми
25. Данные родословные отражают наследование некоторого заболевания в разных семьях. Больные показаны цветными символами, здоровые — белыми, женщины — кружочками, мужчины — квадратиками. Для какой из родословных можно исключить гипотезу, что ген данного заболевания находится в митохондриальной ДНК?

Ответ: 2 картинка
26. Выберите верные утверждения об изображённом объекте:

Принадлежит голосеменному растению
Содержит гаплоидные клетки
Является мужским гаметофитом
Является частью спорофита
Нужен для вегетативного размножения
Ответ: Содержит гаплоидные клетки, является частью спорофита
27. Выберите характеристики, отличающие воздушный корень орхидеи от обычного корня:
Всегда присутствует аэренхима
Поглощение воды происходит благодаря осмосу
В поглощении воды участвуют только живые клетки
Поглощение воды всасывающими тканями происходит в основном за счёт капиллярного эффекта
Есть специальные дыхательные клетки

28. Выберите верные утверждения об изображённом объекте:

Это орган растения семейства Миртовые
Это плод типа семянка
Это патологическое образование, внутри которого находится насекомое, паразитирующее на растении
Это специализированный орган для отпугивания потенциальных
поедателей растения, внутри которого содержатся стрекающие волоски
Это семя, покрытое эндокарпием
29. Выберите адаптации растений к засухе:
Увеличение осмотического давления в тканях
Сбрасывание листьев
Отмирание части корней
Формирование аэренхимы
Повышение текучести клеточных мембран
30. Перед вами жизненный цикл широкого лентеца — паразитического червя из класса Ленточные черви (Сestoda). Выберите верные утверждения:
Широкий лентец обладает хорошо выраженной членистой сегментацией
тела
У широкого лентеца редуцирована пищеварительная система в связи с высоким приспособлением к паразитизму
Широкий лентец не имеет в своём жизненном цикле свободноживущих стадий
Окончательный хозяин паразита обозначен цифрой 6
Основной способ заражения для человека — употребление в пищу плохо термически обработанной рыбы
31. В науке о поведении животных известен феномен импринтинга — «мгновенного» запечатления детёнышем внешнего вида, голоса или запаха матери. Импринтинг важен для выживания животных, поселяющихся крупными колониями или вынужденных с самого раннего возраста передвигаться с места на место. У каких птиц проявления импринтинга очень незначительны?
32. Над окном научной лаборатории построили гнездо шершни. Фрагменты ДНК каких групп организмов из-за этого будут теперь постоянно попадать в лабораторию?
Птицы
Двукрылые и чешуекрылые
Растения
Трутовые грибы
Перепончатокрылые

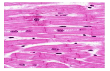
33. Выберите характеристики изображённой ткани:

Невозбудима
Клетки имеют продольную исчерченность
Обладает автоматизмом
Имеет много межклеточного вещества
Клетки образуют функциональный синцитий
34. Выберите верные утверждения об изображённой человеческой клетке:

Всегда содержит Y-хромосому
Имеет гаплоидный набор хромосом
Имеет две центриоли
Имеет двухроматидные хромосомы
В зависимости от типа половых(-ой) хромосом (ы), может иметь различную
скорость передвижения
35. Выберите верные утверждения о молекулах рРНК:
Кодируются в ядерном и митохондриальном геномах эукариот
Являются доминирующей фракцией РНК клетки
Используются для определения эволюционного родства организмов путём сравнения последовательностей
Входят в состав большой и малой субъединиц рибосом
Имеют каталитическую активность

36. Установите соответствие между структурами и анатомическими зонами, к которым они относятся.

37. Установите соответствие между животными и характерными для них формами выделения азота.
38. Охарактеризуйте физиологические явления с эволюционной точки зрения.

39. Установите соответствие между клеточными структурами и веществами, из которых они состоят.

40. Чтобы масса организмов на каком-то уровне пищевой пирамиды выросла, они должны съесть в несколько раз большую массу пищи. Допустим, что эта величина всегда составляет 10% (для прироста на 1 кг необходимо съесть 10 кг пищи). В искусственный водоём заселили 2 тонны водорослей, 10 т водорослеядных рачков и 5 т рыб. Водоросли, рачки и рыбы за год почти не умирали своей смертью. Через полгода в водоёме было 10 т водорослей, 30 т рачков и 10 т рыб. Сколько тонн водорослей было съедено за год?
41. Кровоток в разных тканях зависит от потребности тканей в кислороде и питательных веществах. Скелетная мускулатура удивляет низким уровнем кровотока в состоянии расслабления. Однако во время физической нагрузки кровоток может увеличиваться более чем в 20 раз. Восьмиклассник Ваня Растеряев занимается хоккеем. По совету своего тренера он прошёл обследование, включающее биоимпедансометрию, результаты которой представлены в таблице. У Вани в состоянии покоя кровоток в мышцах составляет 4 мл в минуту на 100 г ткани. Сколько литров крови пройдёт через все его мышцы за 5 минут в условиях физической нагрузки, при которой кровоток увеличивается ровно в 20 раз? Ответ округлите до целых.

9 октября олимпиаду Сириус по биологии решают 3 и 4 группа: Астраханская область 50. Курганская область 51. Омская область 52. Оренбургская область 53. Пермский край 54. Республика Башкортостан 55. Самарская область 56. Саратовская область 57. Свердловская область 58. Тюменская область 59. Удмуртская Республика 60. Ульяновская область 61. Ханты-Мансийский автономный округ — Югра 62. Челябинская область 63. Ямало-Ненецкий автономный округ 64.
Алтайский край 65. Амурская область 66. Еврейская автономная область 67. Забайкальский край 68. Иркутская область 69. Камчатский край 70. Кемеровская область — Кузбасс 71. Красноярский край 72. Магаданская область 73. Новосибирская область 74. Приморский край 75. Республика Алтай 76. Республика Бурятия 77. Республика Саха (Якутия) 78. Республика Тыва 79. Республика Хакасия 80. Сахалинская область 81. Томская область 82. Хабаровский край 83. Чукотский автономный округ.



